Biến chứng nguy hiểm tiêu chảy cấp do nhiễm khuẩn ở trẻ em trong mùa hè
Mùa hè là thời điểm trẻ em dễ mắc tiêu chảy cấp do nhiễm khuẩn, diễn tiến nhanh và nguy hiểm. Nhận diện triệu chứng sớm và phòng ngừa đúng cách là chìa khóa bảo vệ sức khỏe trẻ.
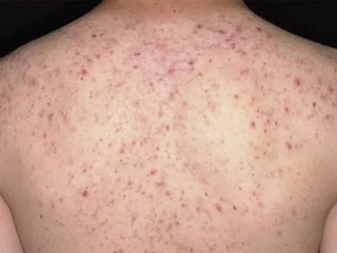
Điều trị sớm bệnh vẩy nến tránh nguy cơ biến chứng
                    Nguy cơ biến chứng của bệnh vẩy nến là rất cao; Rất nhiều trường hợp người bệnh khi mắc bệnh vẩy nến phát sinh bệnh tiểu đường, suy thận; những người dùng nhiều thuốc tây thường tích nước, bụng to, gan chướng, vàng da, mắt mờ, khớp sưng đau...
               
                                                            5 nguyên nhân phổ biến gây tăng men gan
                    Tăng men gan là tình trạng các men gan bị phóng thích vào máu do tế bào gan bị hoại tử. Nói cách khác tăng men gan - đặc biệt là tăng các men transaminase trong máu là dấu hiệu gián tiếp cho thấy đang có quá trình viêm và hoại tử tế bào gan.
               
                                                            Một loại thuốc trị xương khớp bị thu hồi vì không đạt tiêu chuẩn
                    Sở Y tế Hà Nội vừa phát đi thông báo, yêu cầu thu hồi toàn bộ lô thuốc Projoint 750 (Glucosamin sulfat 750mg) do không đạt chỉ tiêu “Độ hòa tan” theo tiêu chuẩn chất lượng.
               
                                                            Đột ngột khó thở cảnh giác với kén khí phổi
                    Các bác sĩ Bệnh viện Đa khoa Trung ương Quảng Nam vừa tiếp nhận một ca bệnh khá phức tạp, nhập viện trong tình trạng tràn khí màng phổi trái do kén khí vỡ.
               
                                                            Tuyệt đối không nên làm điều này khi sơ cứu người đột quỵ!
                    Gần đây, phương pháp "chích máu ở đầu ngón tay, dái tai" để chữa đột quỵ được chia sẻ rộng rãi trên mạng xã hội. Đáng lo ngại, nhiều người tin đây là cách hiệu quả.
               
                                                            Chỉ số mỡ máu bao nhiêu là nguy hiểm?
                    Mỡ máu cao là một vấn đề về sức khoẻ ngày càng đáng báo động. Nhiều người băn khoăn không biết các chỉ số mỡ máu có ý nghĩa như thế nào? Khi xét nghiệm cần lưu ý những điều gì?
               
                                                            Vì sao rối loạn nội tiết lại gây tăng cân, béo phì?
                    Sự mất cân bằng nội tiết tố nữ có thể tác động đến quá trình trao đổi chất và dẫn đến tăng cân ở phụ nữ, nhất là trong giai đoạn tiền mãn kinh – mãn kinh. Sự xáo trộn nội tiết tố khiến việc tăng cân và béo phì trở nên phổ biến hơn.
               
                                                            Tây Hồ thành “điểm đỏ” sốt xuất huyết với 13 ca mắc mới trong một tuần
                    Chỉ trong 7 ngày, Hà Nội ghi nhận 72 ca sốt xuất huyết tại 38 phường, xã gần gấp đôi so với tuần trước, trong đó Tây Hồ có số ca mắc cao nhất và trở thành điểm nóng đáng chú ý.
               
                                                            Những dấu hiệu cảnh báo sớm bệnh lao phổi bạn không nên bỏ qua
                    Lao phổi là bệnh truyền nhiễm do vi khuẩn lao gây ra, chủ yếu ảnh hưởng đến phổi của người bệnh. Bệnh lây qua đường hô hấp khi người bệnh ho, hắt hơi, khạc nhổ và có thể lây cho những người tiếp xúc gần. Vi khuẩn này cũng có thể lan đến các bộ phận khác của cơ thể như não, thận, xương…
               
                                                            Tụt huyết áp ở phụ nữ mang thai cần khắc phục thế nào?
                    Khi mang thai, cơ thể người mẹ có những thay đổi để thích nghi với quá trình nuôi dưỡng em bé. Để đáp ứng điều này, lượng máu lưu thông trong cơ thể sẽ tăng cao hơn bình thường để đảm bảo cung cấp cho thai nhi. Và đây chính là “thủ phạm” dẫn đến tình trạng tụt huyết áp ở phụ nữ mang thai.
               
                                                            Ám ảnh nâng ngực đau, không dám tháo túi ngực
                    Đau sau nâng ngực là tình trạng phổ biến, đặc biệt với khách hàng đã thẩm mỹ từ hơn 10 năm về trước.
               
                                                            Đà Nẵng: Khẩn trương đối phó dịch tả lợn châu Phi diễn biến phức tạp
                    Ngày 16/7, Ủy ban nhân dân phường Quảng Phú, thành phố Đà Nẵng cho biết, trong những ngày qua, bệnh dịch tả lợn châu Phi bùng phát tại nhiều nơi trên địa bàn phường gây thiệt hại cho người chăn nuôi. Hiện tại, địa phương đang khẩn trương triển khai các biện pháp khoanh vùng, dập dịch.
               
                                                            Bệnh Vảy Nến: Các Dạng Thường Gặp Và Bí Quyết Điều Trị Từ Y Học Cổ Truyền
                    Vảy nến là bệnh da liễu mãn tính, dễ tái phát, gây ảnh hưởng lớn đến thẩm mỹ và chất lượng cuộc sống. Trong khi y học hiện đại chỉ tập trung kiểm soát triệu chứng, y học cổ truyền lại đi sâu vào căn nguyên, giúp điều hòa khí huyết, thanh nhiệt, giải độc để cải thiện bệnh từ bên trong. Vậy đâu là phương pháp điều trị vảy nến hiệu quả theo Đông y? Hãy cùng khám phá bí quyết phục hồi làn da khỏe mạnh trong bài viết dưới đây!